A fractured part of the upper right central incisor was restored chairside with a composite resin material within 30 minutes.
A fractured part of the upper right central incisor was restored chairside with a composite resin material within 30 minutes.
A previous PFM (Porcelain-Fused-Metal) crown on an upper right central incisor was replaced with an IPS e.max crown to improve the esthetics and better match its contralateral upper left central incisor.
A previous composite restoration on an upper left central incisor was replaced with an IPS e.max crown to improve the esthetics and better match its contralateral upper right central incisor.
Failing upper right central incisor and fractured upper left central incisor were restored with PFZ (Porcelain-Fused-Zirconia) crowns to restore the esthetics and functions.
Severely worn lower teeth were replaced with full-contoured Zirconia single & splinted crowns to restore the esthetics and function.
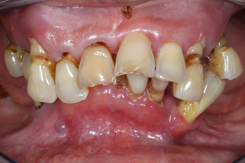
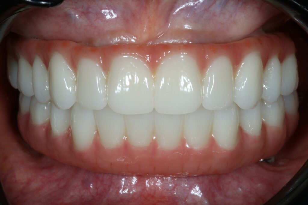
Periodontally-compromised upper and lower incisors were extracted, and upper and lower front teeth were restored with PFZ (Porcelain-Fused-Zirconia) bridges with added pink porcelain.
Periodontally-compromised lower incisors were extracted, and lower front teeth were restored with a PFZ (Porcelain-Fused-Zirconia) bridge.


Four upper incisors were replaced and restored with a three-teeth implants-supported PFZ (Porcelain-Fused-Zirconia) bridge with pink porcelain and a single FPZ crown.



Six upper front teeth were replaced and restored with a six-teeth implants-supported PFZ (Porcelain-Fused-Zirconia) bridge with pink porcelain.


Four upper incisors were replaced and restored with a four-teeth implants-supported PFZ (Porcelain-Fused-Zirconia) bridge with pink porcelain.
Congenitally missing upper canines were replaced and restored with implant-supported PFZ (Porcelain-Fused-Zirconia) crowns.
Upper right central incisor was replaced and restored with an implant-supported PFZ (Porcelain-Fused-Zirconia) crown.
Four upper incisors were replaced and restored with a four-teeth implants-supported PFZ (Porcelain-Fused-Zirconia) bridge.




Upper and lower arches were restored with fixed full arch four-implants-supported PFZ (Porcelain-Fused-Zirconia) bridges.




Upper and lower arches were restored with fixed full arch four-implants-supported PFZ (Porcelain-Fused-Zirconia) bridges.




Upper and lower arches were restored with fixed full arch four-implants-supported PFZ (Porcelain-Fused-Zirconia) bridges.




The lower arch was restored with a fixed full arch four-implants-supported PFZ (Porcelain-Fused-Zirconia) bridge.




The upper arch was restored with a fixed full arch six-implants-supported PFZ (Porcelain-Fused-Zirconia) bridge.




The lower arch was restored with a fixed full arch four-implants-supported PFZ (Porcelain-Fused-Zirconia) bridges. The upper arch was restored with a new complete denture.




Upper and lower arches were restored with fixed full arch four-implants-supported PFZ (Porcelain-Fused-Zirconia) bridges.